Perder una o varias piezas dentales no solo afecta la estética de la sonrisa, también puede comprometer la masticación, la salud oral y la confianza personal. Hoy, los implantes dentales en Quito se han convertido en una de las soluciones más seguras, duraderas y funcionales para recuperar dientes perdidos de forma definitiva.
En clínicas especializadas como VICA Dental, con una trayectoria sólida desde 1988, los implantes dentales se planifican de manera personalizada, combinando experiencia clínica, tecnología digital avanzada y una atención cercana centrada en el paciente.

¿Qué son los implantes dentales y cómo funcionan?
Los implantes dentales son pequeñas piezas de titanio biocompatible que se colocan en el hueso maxilar o mandibular para reemplazar la raíz de un diente perdido. Sobre este implante se coloca posteriormente una corona dental, diseñada para verse y funcionar como un diente natural.
A diferencia de prótesis removibles o puentes tradicionales, los implantes:
- No afectan dientes vecinos
- No usan ganchos
- Ofrecen mayor estabilidad
- Permiten una masticación cómoda y segura
En nuestra experiencia clínica, cuando el implante está bien planificado y correctamente colocado, el paciente recupera no solo la función, sino también la confianza al sonreír y hablar.
¿Quiénes son candidatos ideales para implantes dentales?
La mayoría de personas pueden colocarse implantes dentales, siempre que cuenten con una evaluación adecuada. En general, son buenos candidatos quienes:
- Quienes tengan una enfermedad sistémica controlada
- Han perdido uno o más dientes
- Tienen encías sanas
- Cuentan con suficiente hueso o pueden recibir regeneración ósea
- Mantienen una buena higiene oral
En VICA Dental, el diagnóstico no se basa en suposiciones. Gracias a la radiología digital y la planificación avanzada, es posible evaluar cada caso con precisión y definir si el implante es viable o si se requiere un tratamiento previo. Este enfoque evita sorpresas durante el procedimiento y mejora notablemente los resultados.
Beneficios de los implantes dentales frente a otras opciones
Elegir implantes dentales frente a otras alternativas tiene ventajas claras a corto y largo plazo:
- Con buenos cuidados, pueden durar muchos años
- Se integran de forma armónica con el resto de la sonrisa
- Permiten comer y hablar con normalidad
- Evitan la pérdida ósea progresiva
- Evita dañar dientes vecinos
- Evita el uso de ganchos
Después de décadas tratando pacientes en Quito, algo que vemos con frecuencia es cómo un implante bien rehabilitado cambia la calidad de vida del paciente, incluso en casos donde pensaban que “ya no había solución”
¿No sabes si este tratamiento es para ti?
Cada sonrisa es distinta y, por eso, el primer paso siempre es conocer tu caso en detalle. En VICA Dental realizamos una primera valoración personalizada, donde analizamos tus necesidades, resolvemos tus dudas y te orientamos sobre las mejores opciones de tratamiento, incluyendo un estimado claro y transparente según tu situación.
📝 El diagnóstico adecuado es la base de un buen resultado.
📲 Si deseas agendar tu primera cita, escríbenos por WhatsApp y con gusto coordinamos tu visita.
¿Cómo es el proceso de colocación de implantes dentales?
Diagnóstico y planificación digital
Todo comienza con un estudio completo: radiografías digitales, análisis clínico y planificación virtual. La tecnología CAD-CAM permite anticipar cada detalle del tratamiento antes de iniciar.
Este paso es clave. Una buena planificación reduce riesgos, mejora la precisión y hace que el procedimiento sea más cómodo para el paciente.
Colocación del implante
La cirugía se realiza bajo anestesia local y suele ser un procedimiento seguro y bien tolerado. En manos de especialistas en implantología, el implante se coloca en la posición exacta definida en la planificación.
Muchos pacientes se sorprenden al descubrir que el procedimiento es menos molesto de lo que imaginaban.
Nuestros procedimientos son sencillos y exactos porque usamos guías quirúrgicas, estás guías son elaboradas digitalmente en base a una tomografía y su escaneo bucal.
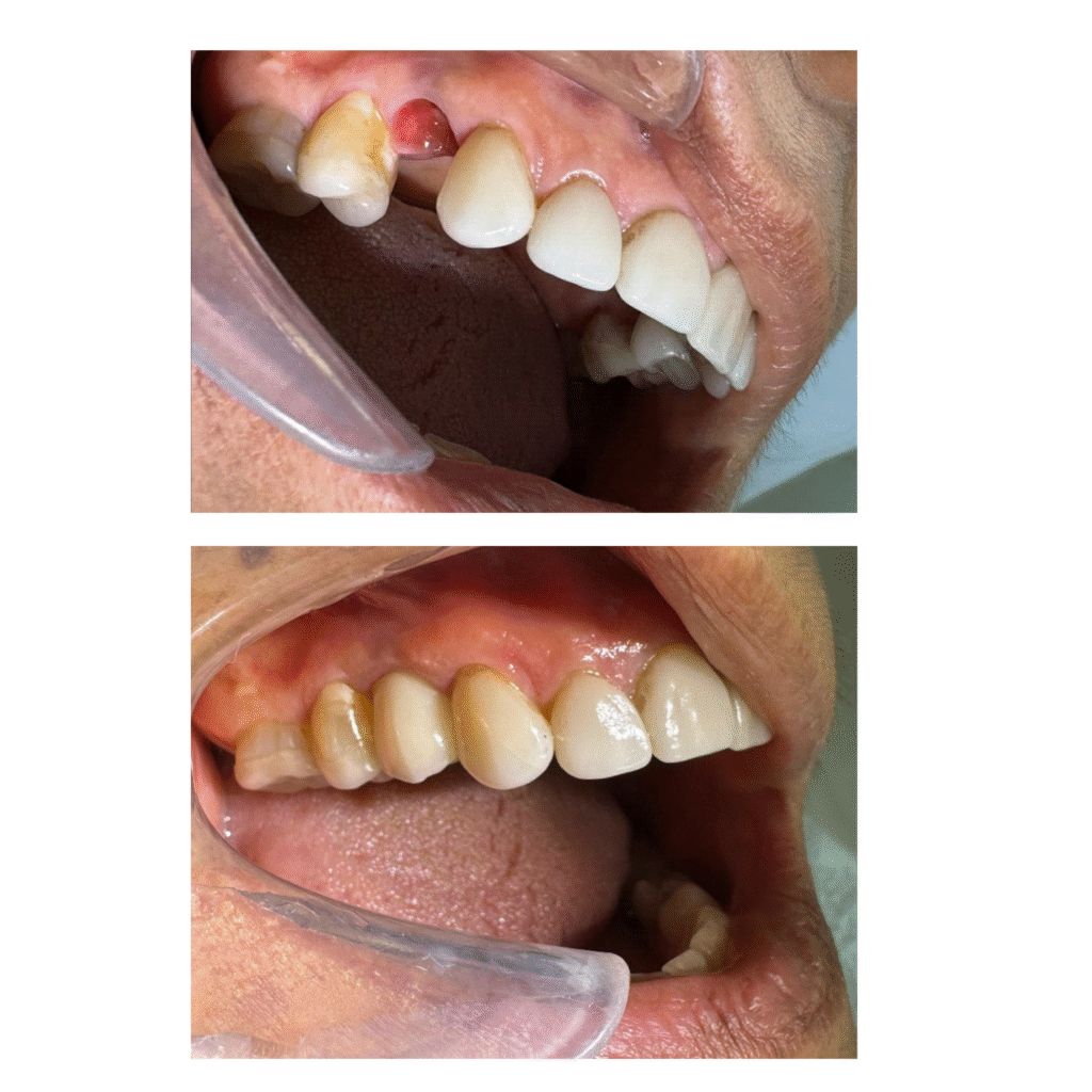
Rehabilitación y corona definitiva
Tras el período de integración del implante con el hueso, se coloca la corona definitiva, diseñada a medida para lograr un resultado estético y funcional. Aquí interviene nuevamente la tecnología digital para asegurar precisión y naturalidad.
Tecnología digital aplicada a implantes dentales
Uno de los grandes diferenciales hoy en implantología es el uso de tecnología dental digital. En VICA Dental, esta tecnología permite:
- Diagnósticos más precisos
- Tratamientos personalizados
- Menor margen de error
- Resultados predecibles
No se trata solo de “tener tecnología”, sino de saber utilizarla correctamente para beneficiar al paciente en cada fase del tratamiento.
¿Cuánto cuestan los implantes dentales en Quito?
El precio de los implantes dentales en Quito puede variar según varios factores:
- Número de implantes
- Estado del hueso
- Tipo de rehabilitación
- Tecnología utilizada
- Complejidad del caso
Por esta razón, es importante desconfiar de precios genéricos. Un implante bien hecho es una inversión en salud y calidad de vida. En una clínica especializada, el presupuesto se basa en un diagnóstico real y en un plan de tratamiento claro, sin improvisaciones.
¿Por qué elegir una clínica especializada en implantes dentales en Quito?
No todas las clínicas ofrecen el mismo nivel de experiencia ni el mismo enfoque. Elegir una clínica de especialidades odontológicas marca la diferencia en:
- Seguridad del procedimiento
- Calidad del diagnóstico
- Resultados a largo plazo
En VICA Dental, el trabajo interdisciplinario entre especialistas con formación de cuarto nivel permite abordar cada caso de forma integral, cuidando tanto la función como la estética final.
Implantes dentales seguros y atención humana en Quito
Más allá de la técnica, hay un aspecto que muchos pacientes valoran profundamente: el trato humano. El miedo al tratamiento dental es real, especialmente cuando se habla de cirugía.
Una atención cálida, cercana y clara, donde el paciente entiende cada paso, genera confianza y tranquilidad. Esa combinación entre experiencia, tecnología y empatía es clave para que el tratamiento sea una buena experiencia, no solo un procedimiento médico.
Preguntas frecuentes sobre implantes dentales
¿Duelen los implantes dentales?
Generalmente no. El procedimiento se realiza con anestesia local y la mayoría de pacientes reporta molestias leves y controlables.
¿Cuánto dura un implante dental?
Con buena higiene y controles periódicos, puede durar muchos años.
¿Cuánto tiempo toma todo el tratamiento?
Depende del caso, pero suele variar entre algunos meses desde la colocación hasta la corona definitiva.
¿Los implantes se ven naturales?
Sí. Las coronas se diseñan para integrarse perfectamente con el resto de los dientes.
Conclusión
Los implantes dentales en Quito representan hoy una solución confiable, segura y duradera para recuperar la sonrisa y la función dental. Cuando el tratamiento se realiza en una clínica especializada, con experiencia comprobada, tecnología avanzada y un enfoque humano, los resultados marcan una diferencia real en la vida del paciente.
Agenda tu valoración para implantes dentales en Quito
Si estás considerando implantes dentales en Quito y buscas una clínica con experiencia, tecnología avanzada y un trato humano, en VICA Dental estaremos encantados de acompañarte en cada paso del proceso.
Nuestro equipo de especialistas evaluará tu caso de forma personalizada, resolverá todas tus dudas y te propondrá la mejor solución para recuperar la función y estética de tu sonrisa.
📍 Dirección:
La Niña E8-58, Edif. Royal Business, Cuarto Piso, Oficina 408 – Quito, Ecuador
📞 Teléfono
099 612 8119
¿Te gustaría resolverlo ahora mismo?
Si ya estás considerando mejorar tu sonrisa, este es un buen momento para dar el siguiente paso. A veces, una conversación rápida es todo lo que necesitas para aclarar dudas y avanzar con seguridad.
📲 Haz clic en el ícono de WhatsApp y escríbenos ahora mismo.
Nuestro equipo te responderá de forma directa para ayudarte a coordinar tu primera cita y acompañarte desde el primer contacto.
Tu sonrisa puede empezar a cambiar hoy.


